What is an Aneurysmal Bone Cyst?
An aneurysmal bone cyst is a benign yet aggressive bone tumor or neoplasm. It consists of a blood-filled cavity with a thick outer lining. If this tumor is not removed, it will continue to grow, destroying the bone and adjacent joint. However, it will not spread to other parts of the body.
Who is usually affected?
- • Most commonly affects children and adolescents.
- • Males and females are affected equally.
- • Most cases occur between birth and 20 years old.
- • Rare; affects less than 1 in 100,000 people per year.
Causes
- • There is no known cause of aneurysmal bone cysts. They are not passed down to your children (non-hereditary) and have no risk factors.
- • A recent link to a mutation of the ubiquitin specific peptidase 6 (USP6) gene on chromosome 17 has been identified.
- • Some patients complain of an injury but there is no direct link to an injury causing it.
Diagnosis
- • The work-up for ABCs often consist of a physical examination, X-rays, CT scans, MRI, and sometimes bone scans are required.
- • The diagnosis is often confirmed with a biopsy, which means taking a sample of tumor and having it analyzed under a microscope.
Common Bones Involved
- • Spine
- • Femur
- • Tibia
Biological Behavior
- • These are benign aggressive tumors that destroy bone.
- • There is some risk of the tumor coming back (recurrence) after scooping the tumor out of the bone (curettage), depending on location and the proportion of cellular tissue.
- • Rarely, they can transform into a cancerous (malignant) tumor. In the past, this has been associated with radiation treatments. Radiation is typically not used in the treatment of this tumor any longer.
Signs and Symptoms
- • Mild to moderate pain
- • Often associated with night pains
- • Swelling
- • Palpable expansile mass
- • Patients usually complain of injuries, which are commonly mistaken for sports injuries
- • Patients may fracture their bone because the tumor has created a weakness or defect in the bone
Risk to your limbs
Aneurysmal bone cysts (ABCs) are benign aggressive tumors that, if left unchecked, will grow and destroy your normal bone. Clinically, local pain and swelling may be the first signs of a growing ABC. As the tumor grows, the bone is weakened and you are at an increased risk of breaking the bone due to the tumor (called a pathological fracture), which is often the first sign of an ABC.
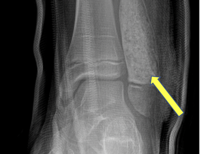
Radiographic imaging is used to help form a diagnosis of ABC. These include X-Ray, MRI, CT and Bone Scans.
An example of an ABC X-Ray (Figure 1A) and an MRI (Figure 1B) with fluid fluid levels are shown.

Treatment of Aneurysmal Bone Cysts
Intralesional Curettage

Intralesional Curettage means to scoop the tumor out using a spoon-like tool called a curette. This is a surgery that aims to remove the mass and restore the bone so that the patient can get back to normal function. The ABC is identified within the bone and scooped, or curetted, out. The cavity is then shaved down with a Midas Rex Drill, which is similar to a dental drill. This drill removes more tumor cells.
Cryosurgery

It is a specialized technique that only a handful of surgeons in the country know how to perform. Once the tumor is removed, liquid nitrogen may be poured into the bone cavity to freeze the area to sub zero temperatures in order to kill microscopic tumor cells. This reduces the chances of the tumor coming back to less than 5%. Warm fluid is also used to prevent normal tissues from freezing.
Bone Grafting and Fixation

The empty bone cavity is usually filled with bone graft or bone cement. Bone can be donated (allograft) or taken from the patient themselves (autograft). Fixation devices, such as a plate and screws, may be used in specific situations to prevent postoperative fracture. This example of an X-ray shows the bone graft filled in nicely. It looks particulate. In this case, the patient was placed in a cast to protect from fracture and allow the graft to heal.
