What is a Resection of the Quadriceps Muscles?
The anterior compartment of the thigh (quadriceps) is the most common site for soft tissue tumors of the thigh, preceded by the anterior (quadriceps) compartment. The major muscles of the anterior thigh (quadriceps muscles) include the vastus medialis, vastus lateralis, rectus femoris, and vastus intermedius. Although resection of the muscular elements of this compartment does not considerably affect overall function of the lower extremity, the proximity of the major nerves, arteries, and veins of the lower extremity to this area requires special attention in the preoperative evaluation process and during tumor removal. Some of the most common types of soft tissue tumors that arise in this site include lipomas and low-grade liposarcomas. High-grade soft tissue sarcomas may adhere to some of the vascular structures (veins and arteries) and require careful dissection and preservation of the femoral (femur) vessels. About 90% of soft tissue sarcomas arising in the anterior thigh (quadriceps muscles) can be resected and treated adequately by a limb-sparing surgery. In some instances the extremity cannot be saved and an amputation is performed.
Contraindications for saving the limb may include neurovascular invasion, infection, pathological fracture, invasion of the pelvic floor, extensive disease, contamination from a poorly performed biopsy, recurrent disease.

What’s involved in the technique?
Incision

A long incision is made just above the tumor mass to encompass the biopsy site.
Muscle Releases

Developing surgical planes (margins that are tumor free) and separating muscles that can be preserved such as the biceps femoris and leaving those in continuity with the tumor that should be removed such as the rectus femoris. This is based on preoperative MRI and intraoperative findings as well as the type of tumor.
Blood Vessel and Nerve Dissection

Separating major neurovascular structures from the tumor. In rare cases a nerve(s) may need to be removed if it is involved by the sarcoma. These can include the sciatic nerve, the femoral nerve or both. For this type of procedure, in most cases the femoral nerve artery and vein are immobilized and moved away from the tumor. Once the blood vessels and nerves are separated, they can be retracted (moved away from the tumor) and protected throughout the procedure.
Tumor Removal

Removal of tumor and reconstruction. Once the tumor is properly removed with proper margins, the defect (space where quadriceps muscles of the thigh were) may be filled with local muscle or muscle flaps transferred from other parts of the body. If blood vessels or nerves needed to be removed with the tumor they may also require reconstruction. It is rarely needed to remove major neurovascular structures with the tumor.
Reconstruction

Large defects after the the resection can be reconstructed using various muscle transfers if necessary.
Reconstruction

In cases that require muscular reconstruction, the biceps femoris (hamstring muscle), semitendinosus (hamstring muscle), and sartorius muscles may be utilized.
Muscles transferred

This is showing how the sartorius and the quadriceps can be reconstructed. In this case, the biceps femoris, sartorius and semitendinosis (muscles typically found in the back of the leg) are moved towards the the front and sutured to the patella.
Closure

We then close your incision with sutures and cover the surgical site with bandages. Multiple large drains may also be used to drain the surgical site and prevent a seroma (buildup of fluid).
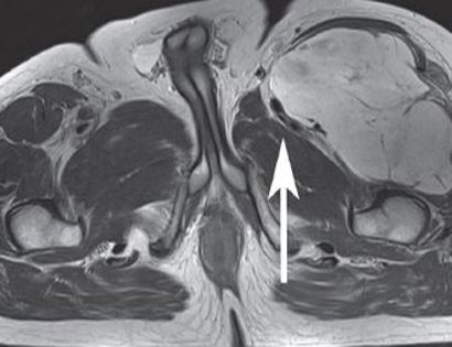
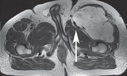
MRI of quadriceps tumor

This MRI shows a large mass on the upper left hand side of the thigh (upper right hand side of the image) which is compressing the muscles and nerves.
What you can expect afterwards
After your surgery you will spend a few nights in the hospital and then will be recuperating at home. Various pain protocols and nerve blocks are used to minimize pain. Mostly all patients are very comfortable after the surgery. For the first few days you will ice the area and keep it elevated to reduce swelling. You will return to the office 2 weeks after surgery. Once cleared, you will subsequently start physical therapy. We usually prescribe specific physical therapy protocols 3 times a week for 12 weeks after surgery to gradually strengthen muscles. Strengthening with significant resistance after sufficient range of motion is achieved as determined by Dr. Wittig. There may be an ultimate weight limit imposed upon you depending on various factors.
You will be monitored periodically with MRI imaging over the course of 5 years to ensure there are no signs of recurrence. You will have follow up appointments every 4 months for the first 2 years, then every 6 months for the next 2 years, and then once a year. Since the integrity of the limb has been restored to full or almost full, recovery is anticipated provided the patient adheres to strict physical therapy.
Anterior Thigh (Quadriceps) Muscle Excision Video
Dr. James Wittig narrates a video illustrating the surgical technique for resection of a tumor of the anterior thigh (quadriceps). | WATCH VIDEO
