What is a Chondromyxoid Fibroma?
This is a benign aggressive, extremely rare bone tumor that is made up of three types of tissue: cartilage tissue, fibrous tissue and myxoid tissue. Aggressive means this tumor spreads and destroys bone. Benign means does not spread to other parts of the body. Myxoid tissue is a type of tissue that produces a mucous like substance. Fibrous tissue is made of collagen and forms tendons and ligaments as well as other soft tissues in the body. This is a slow-growing tumor that occurs primarily in the shin bone (tibia), femur, pelvis and small bones of hands and feet. This tumor grows and destroys bone but does not spread to other body parts. Surgery is the mainstay of treatment patients do not require any sort of chemotherapy or radiation
Causes
- • There is no known cause of Chondromyxoid Fibroma
Signs and Symptoms
- • Long history of mild to moderate pain.
- • Swelling around the impacted area.
Who is usually affected?
- • Higher percentage of men affected 1.5:1.
- • The majority of cases occur between 5 and 30 years old.
- • It is rare, being 0.5% of all bone tumors
Common Bones Involved
- • Tibia
- • Femur
- • Pelvis
- • Small bones of the hands, feet, vertebrae and ribs
Biological Behavior
- • CMFs are benign but aggressive slow-growing tumors that destroy bone as they grow. This can result in a fracture or destroy the adjacent joint.
- • There is high risk of the tumor coming back (recurrence) after scooping the tumor out of the bone (curettage). This risk can be reduced with using cryosurgery, argon beam ablation or other methods to kill residual microscopic cells.
- • Rarely, CMFs can transform into a cancerous (malignant) tumor.
Diagnosis
- • The work-up for CMFs often consist of a physical examination, X-rays, CT scans, MRIs, and sometimes bone scans.
- • The diagnosis is often confirmed with a biopsy, which means taking a sample of tumor and having it analyzed.
Risk to your limbs
CMFs are benign tumors that will grow slowly over time. As the tumor grows, the bone is weakened and you are at an increased risk of breaking the bone due to the tumor (called a pathological fracture).
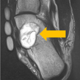
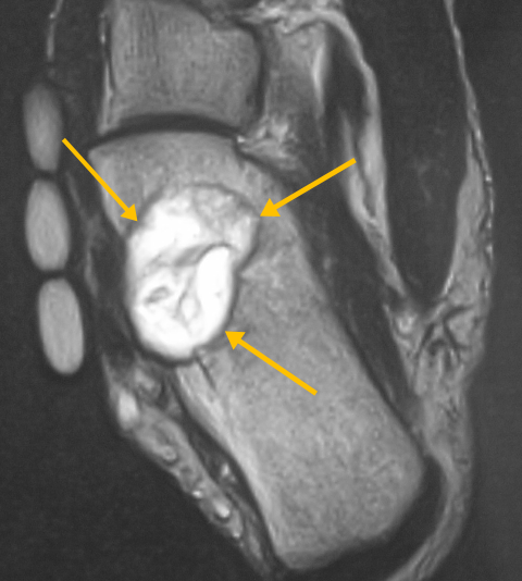
Radiographic imaging is used to help form a diagnosis of CMF. These include, X-Ray, MRI, CT and Bone Scans. An example of a CMF MRI is shown.

Treatment of Chondromyxoid Fibroma
The primary form of treatment for CMF is surgical removal (excision). Most CMFs can be treated with a procedure called intralesional curettage and burr drilling called a curettage-resection.
Intralesional Curettage
The primary form of treatment for CMF is surgical removal (excision). Most CMFs can be treated with a procedure called intralesional curettage and burr drilling called a curettage-resection. Curettage means to scoop the tumor out using a spoon-like tool called a curette. The burr-drilling is similar to a dental drill and removes additional tumor cells by shaving the bone in the cavity even further.
Cryosurgery
It is a specialized technique that only a handful of surgeons in the country know how to perform. Once the tumor is removed, liquid nitrogen may be poured into the bone cavity to freeze the area to sub zero temperatures in order to kill microscopic tumor cells. This reduces the chances of the tumor coming back to less than 5%. Warm fluid is also used to prevent normal tissues from freezing.
Bone Grafting and Fixation
The empty bone cavity is usually filled with bone graft or bone cement. Bone can be donated (allograft) or taken from the patient themselves (autograft). Fixation devices, such as a plate and screws, may be used in specific situations to prevent postoperative fracture.
