What is a Conventional Chondrosarcoma?
Conventional Chondrosarcoma is a bone sarcoma (primary bone cancer) that is made up of cartilage tissue. Conventional means it is the most common type of a chondrosarcoma as there are multiple different types. Cartilage is a type of tissue that lines your joints and allows movement between bones and joints. This type of tumor occurs primarily in the femur, humerus, scapula and pelvis. A chondrosarcoma grows and destroys the bone, adjacent joints and surrounding muscle tissues. Since it is cancerous it can spread to other areas in the body. Conventional chondrosarcoma is classified according to their grade: Low grade, Intermediate grade, High grade. Low grade is slow growing and rarely if ever spread to other body parts. High grade grow rapidly and spread 30-50% of the time.
Who is usually affected?
- • Primarily Adults
- • There is a slight prevalence of men
- • Most cases occur between 40 and 70 years old
- • Rare; 2 per million a year
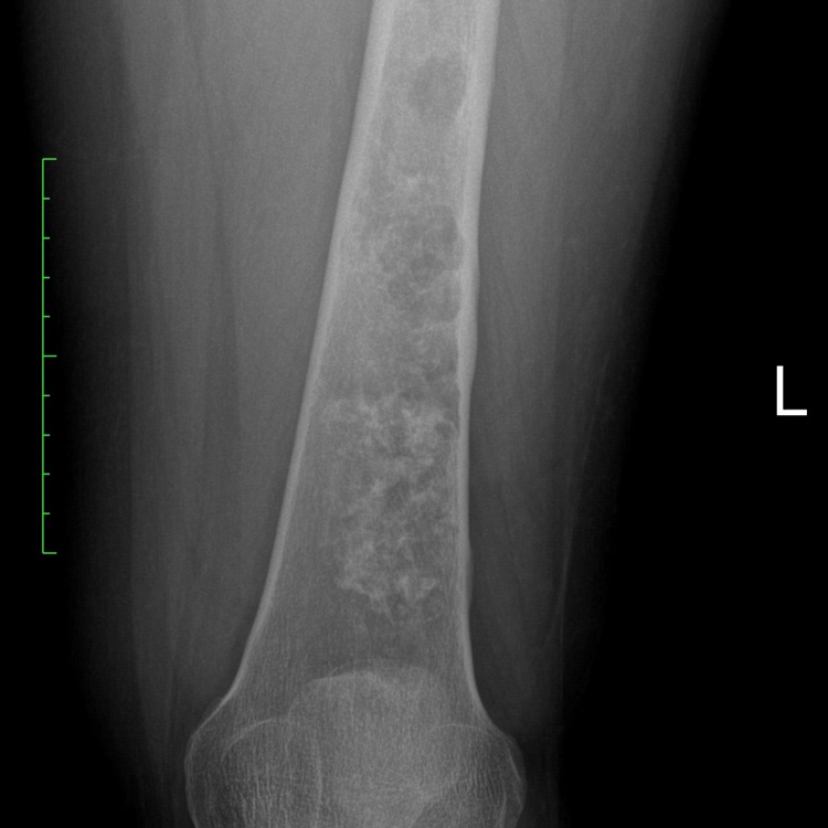
Common Bones Involved
- • Femur
- • Humerus
- • Scapula
- • Pelvis
Causes
- • There is currently no known cause of conventional chondrosarcoma.
Signs and Symptoms
- • Local swelling and pain
- • Long lasting symptoms (months to years)
Biological Behavior
- • These are malignant (cancerous) cartilage tumors that destroy bone, adjacent joints and spread into the surrounding muscles.
- • Conventional chondrosarcomas are classified according to their grade: Low grade, Intermediate grade, High grade. Low grade is slow growing and rarely if ever spread to other body parts. High grade tumors grow rapidly and spread 30-50% of the time.
- • Low grade chondrosarcomas are more common than high grade and are easier to treat. Low grade chondrosarcomas can undergo dedifferentiation meaning they change and become more aggressive. They actually can have another more aggressive sarcoma arise from them.
Diagnosis
- • The work-up is often consist of a physical examination, X-rays, CT scans, MRI, and sometimes bone scans are required. CT scans can be used to check for subtle mineralization that may help with the diagnosis
- • CT of the chest is necessary to check for pulmonary metastases. The lungs and other bones are the to most common sites for the tumor to spread.
- • The diagnosis is often confirmed with a biopsy, which means taking a sample of tumor and having it analyzed under a microscope by a pathologist.
Risk to your limbs
Conventional Chondrosarcomas are cancerous aggressive tumors that, if left unchecked, will grow and destroy your normal bone. Clinically, local pain and swelling may be the first signs of a growing tumor. As the tumor slowly grows, the bone is weakened and you are at an increased risk of breaking the bone due to the tumor. They may also spread to your lungs or other bones.
Radiographic imaging is used to help form a diagnosis. These include X-Ray, MRI, CT and Bone Scans.
Treatment of Conventional Chondrosarcoma
The form of treatment depends on the grade (how abnormal the cancer cells and tumor tissue are). The primary form of treatment is surgical removal (excision). Low-grade tumors can be treated with a procedure called intralesional curettage and burr-drilling. Liquid nitrogen (cryosurgery), argon beam ablation or other treatments may also be used with the curettage to kill cells and prevent the tumor from coming back. Curettage means to scoop the tumor out using a spoon-like tool called a curette. This is a surgery that aims to remove the mass so that the patient can get back to normal function. High grade tumors require a radical, en-bloc resection and reconstruction. Chemotherapy and radiation may be also recommended for specific situations but in general are not effective against chondrosarcoma and never recommended for low grade tumors.
Intralesional Curettage

Intralesional Curettage means to scoop the tumor out using a spoon-like tool called a curette. This is a surgery that aims to remove the mass and restore the bone so that the patient can get back to normal function. The ABC is identified within the bone and scooped, or curetted, out. The cavity is then shaved down with a Midas Rex Drill, which is similar to a dental drill. This drill removes more tumor cells.
Cryosurgery

It is a specialized technique that only a handful of surgeons in the country know how to perform. Once the tumor is removed, liquid nitrogen may be poured into the bone cavity to freeze the area to sub zero temperatures in order to kill microscopic tumor cells. This reduces the chances of the tumor coming back to less than 5%. Warm fluid is also used to prevent normal tissues from freezing.
Bone Grafting & Fixation

The empty bone cavity is usually filled with bone graft or bone cement. Bone can be donated (allograft) or taken from the patient themselves (autograft). Fixation devices, such as a plate and screws, may be used in specific situations to prevent postoperative fracture.
