What is a Dedifferentiated Chondrosarcoma?
This is an aggressive cancerous tumor that destroys bone. It most commonly affects the pelvis, femur, humerus, and ribs.
Who is usually affected?
- • Men and women are equally affected.
- • Most cases occur between adulthood and old age.
- • The most common age range is patients older than 50.
Causes
- • There is currently no known cause of dedifferentiated chondrosarcoma.
Biological Behavior
- • These are aggressive cancerous tumors that destroy bone.
- • They have a very high risk of spreading with the most common area being the lungs.
Signs and Symptoms
- • Pain, with or without fracture
- • Pins and needles
- • Swelling
Diagnosis
- • The work-up often consists of a physical examination, X-rays, CT scans, MRI, and sometimes bone scans are required.
- • The diagnosis is often confirmed with a biopsy, which involves taking a sample of tumor and having it analyzed under a microscope by a pathologist.
Common Bones Involved
- • Femur
- • Humerus
- • Pelvis
- • Ribs
Risk to your limbs
These are cancerous tumors that, if left unchecked, will grow and destroy your bone. As the tumor grows, you are at an increased risk of breaking the bone due to the tumor (called a pathological fracture), which is often one of the first sign of the condition. They may also spread to your lungs or other bones.
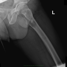
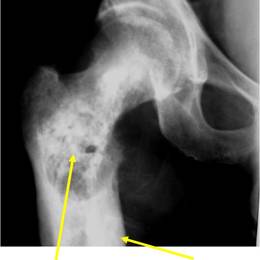
Radiographic imaging is used to help form a diagnosis. These include X-Ray, MRI, CT and Bone Scans.
An example of a dedifferentiated chondrosarcoma X-Ray is shown.

Treatment of Dedifferentiated Chondrosarcoma
Surgery

The surgery we use to treat this condition is known as radical limb sparing resection. Radical means that the tumor is being removed from the root of the cancer. This is a surgery that aims to remove the mass and spare the body part so the patient can return back to normal function.
Radiation

Radiation may be considered if the tumor is unresectable or if a wide margin can not be achieved with surgery such as with large pelvic tumors. Radiation would be used as an adjuvant to eradicate any residual microscopic disease.
Chemo Therapy

Chemotherapy may be considered for high grade dedifferentiated component but is controversial and no clear cut benefit has ever been demonstrated.
