What is a limb-sparing surgery of the lower arm/elbow?
The elbow consists of your humerus, ulna, and radius bone. The distal (lower part) humerus is a relatively rare site for primary bone sarcomas and accounts for approximately 1% of all bone tumors. It is more commonly involved by neoplasm (tumor) through metastatic disease. The distal humerus or elbow joint also can be secondarily involved by soft tissue sarcomas arising from the adjacent muscles and soft tissues including undifferentiated pleomorphic sarcoma. Limb-sparing surgery can be performed for approximately 95% of tumors arising from the lower humerus. In some instances, the extremity cannot be saved and an amputation is performed.
Contraindications for saving the limb may include neurovascular invasion, infection, pathological fracture, extensive disease, contamination from a poorly performed biopsy, recurrent disease.

What’s involved in the technique?
Incision

A long incision is made along the biceps muscle and the elbow joint is exposed using an s shaped incision from the long incision.
Blood Vessel and Nerve Dissection

In rare cases a nerve (s) may need to be removed if it is involved by the bone sarcoma. For this procedure it is vital that all brachial vessels and nerves (arteries, veins, and nerves of arm near the biceps muscle) are properly identified. Once the blood vessels and nerves are properly identified they can be retracted (moved away) and protected throughout the procedure.
Tumor Removal and Reconstruction

Removal of tumor and reconstruction with a tumor prosthesis. Reconstruction of the lower arm/elbow utilizing a specialized tumor prosthesis is the most common limb-sparing technique for bone sarcomas, soft-tissue sarcomas, or large benign aggressive tumors that have destroyed the bone arising in this area. This prosthesis is sized and built during the surgical procedure then implanted and secured in place using cement. The length of bone removed is based on preoperative X-rays and MRI.
Distal Humerus Prosthesis components

This prosthesis is sized and built during the surgical procedure then implanted. We cement the prosthesis into your bone and safely secure it in place.
Soft Tissue Coverage

Multiple muscle rotation flaps are used to restore function and stability of the elbow as best as possible. The goal is to provide a stable elbow so the extremity can function well. Soft-tissue reconstruction that involves rotating and reattaching the muscles and restoring the function of the forearm muscles and biceps is most important for achieving optimal functional outcomes and for protecting the prosthesis from infection.
Closure

We then close your incision with sutures and cover the surgical site with bandages. Multiple large drains may also be used to drain the surgical site and prevent a seroma (buildup of fluid).
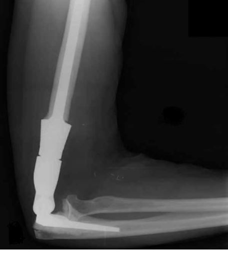
X-ray Photo

This is an X-ray image of the arm with the prosthesis.
Intra-Op: Incision

This is a picture of a patient’s arm prior to surgery. The arm is marked from the shoulder to the forearm to ensure that the incision being made is long enough for the tumor to be fully removed.
Distal Femur Components Schematic

Intra-Op: Blood Vessel and Nerve Dissection

This is an image of the arm after an incision was made to pull back the skin. The tumor is underneath the muscular tissue causing the raised muscle seen in the photo.
Intra-Op: Specimen Photo

This is an image of the humerus bone with the tumor fully taken out of the arm.
Intra-Op: Distal Humerus Defect

This is an image of the arm after the humerus bone is removed along with the tumor. The colored lines are to pull back and identifying major arteries and veins so that damage to these structures does not occur.
Intra-Op: Distal Humerus Prosthesis Inserted

This is an image of the humerus with the prosthesis fully inserted. Soft tissue will cover over the prosthesis to ensure proper functioning post-surgically.
What you can expect afterwards
After your surgery you may spend a few nights in the hospital and then will be recuperating at home. Various pain protocols and nerve blocks are used to minimize pain. Mostly all patients are very comfortable after the surgery. For the first few days you will ice the area and keep it elevated to reduce swelling. You will return to the office 2 weeks after surgery. Patients are usually kept in a sling for 6 weeks to allow the muscles to heal. The elbow is not permitted to extend beyond 45 degrees of flexion for 4 to 6 weeks to allow the biceps muscle to heal, which will stabilize the prosthesis. Once cleared, you will subsequently start physical therapy. We usually prescribe specific physical therapy protocols 3 times a week for 12 weeks after surgery to gradually strengthen muscles. Strengthening with significant resistance after sufficient range of motion is achieved as determined by Dr. Wittig. There may be an ultimate weight limit imposed upon you depending on various factors.
You will be monitored periodically with X-rays over the course of 5 years. Sometimes an MRI and/or CT may be used to additionally monitor the area to make sure the tumor has not come back. You will then have follow-up appointments every 4 months for the first 2 years, then every 6 months for the next 2 years, and then once a year. Since the bone integrity has been restored to full or almost full, recovery is anticipated provided the patient adheres to strict physical therapy.
Distal Humerus and Total Elbow Replacement Video
Dr. James Wittig narrates a video illustrating the surgical technique for resection of the distal humerus and reconstruction of the elbow joint utilizing a tumor prosthesis. | WATCH VIDEO
