What is Ewing’s Sarcoma?
Ewing’s Sarcoma is a small round blue cell sarcoma (cancerous tumor). It is a childhood sarcoma, as a high percentage of cases occur within the first two decades. It is the fourth most common primary malignancy of bone and accounts for approximately 5% of all biopsied tumors. Although Ewing’s Sarcoma can occur in any bone, the most common site is long bones (e.g. humerus, radius, ulna, femur, tibia, fibula) with the femur being the most common site. Ewing’s Sarcoma is cancerous and has the potential to metastasize, or spread, to other areas of the body if not treated.
Who is usually affected?
- • Slight male predominance (1.5:1)
- • Most cases occur between 10-25 years of age (median age 13)
- • Uncommon in African Americans
Biological Behavior
- • Ewing’s Sarcoma is one of the most aggressive, malignant (cancerous) tumors.
- • Uniform, monotonous, small round blue cell tumor with minimal production of matrix.
- • High probability for local recurrences.
- • Noted for its lack of immunologic staining.
Causes
- • There is no known cause of Ewing’s Sarcoma, however most Ewing’s Sarcoma cases (85%) are associated with a characteristic chromosomal translocation t(11;22)(q24;q12) that results in EWS/FLI-1 chimeric protein.
- • Ewing’s Sarcoma is not passed down to children (non-hereditary).
Signs and Symptoms
- • A majority of patients present with a mass and with localized pain
- • Increased sedimentation rate, fever, anemia, malaise may occur and are usually indicative of metastatic disease.
- • 10% of patients present with multiple bony lesions.
- • May have elevated LDH.
Common Bones Involved
- • The femur is the most commonly affected bone
- • Long bones (e.g. femur, humerus, tibia)
- • Flat bones (e.g. occipital, parietal, frontal, sternum, ribs)
- • Pelvis
- • Ribs
Diagnosis
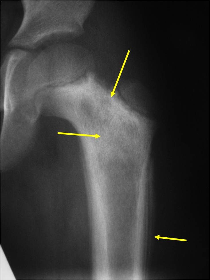
- • The work-up for Ewing’s Sarcoma often consists of a physical examination, X-rays, CT scans, or MRI of the effected bone. A Whole Body Bone Scan may be ordered to determine if the tumor metastasized, or spread.
- • The diagnosis is often confirmed with a biopsy.
Risk to your limbs
Ewing’s Sarcoma is an aggressive, cancerous (malignant) tumor that, if left unchecked, will grow and destroy the normal bone. Clinically, they manifest as localized pain (usually worse at night), fever, and swelling. The affected area may be tender and warm. Patients may also notice night sweats and weight loss. Early and effective treatment is essential, as Ewing’s Sarcoma also has the ability to spread to other parts of the body, known as metastasis. Advanced imaging, such as whole body bone scans and CT of the chest/abdomen/pelvis, are used to check if the cancer has spread, or metastasized, throughout the body.
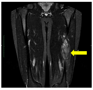
An example of an MRI depicting Ewing’s sarcoma in the lower extremity is shown.

Treatment of Ewing’s Sarcoma
The treatment for Ewing’s Sarcoma involves a multifocal approach, consisting of chemotherapy and surgical resection or removal of the cancer. Ewing’s Sarcoma is very responsive to chemotherapy. Several cycles of chemotherapy are given before surgery (preoperatively) and again after surgery (post-operatively). Preoperatively, chemotherapy is used to reduce the size of the tumor. Post-operatively, chemotherapy is used to lower the risk of the cancer coming back (recurrence). The surgical procedure commonly used to treat Ewing’s Sarcoma is a radical resection and reconstruction.
Chemotherapy

Chemotherapy is a systemic treatment option for some cancers, meaning the chemotherapy drugs travel throughout the body and can kill the cancerous cells that have metastasized, or spread throughout. Chemotherapy is used to treat cancer, control/prevent cancer from spreading, and ease the symptoms related to the cancer. There are various drugs used in chemotherapy, so the combinations of drugs administered and the number of cycles may differ between each person and tumor. Lastly, chemotherapy may be used in conjunction with other treatments, specifically local treatments such as surgery.
Surgery

Surgical treatment includes wide or radical resections to remove the complete tumor and additional margins. The removal of additional, surrounding margins ensures that the tumor is completely removed and decreases the chances of the tumor coming back. Common surgical procedures are:
Expandable Prosthesis

Once the tumor and margins have been removed, reconstruction with a prosthesis is performed. Since Ewing’s Sarcoma is a childhood sarcoma, a special, customized, expandable prothesis may be used, which allows the prosthesis to “grow” with the child. The patient may return to the office, where the prosthesis can be lengthened using a magnet without any pain.
