What is a Giant Cell Tumor?
Giant Cell Tumors are a benign yet aggressive bone tumor or neoplasm. It is benign but aggressive, and if not removed, will grow and destroy the bone. Many, but not all, are caused by a genetic mutation.
Who is usually affected?
- • Most commonly affects patients older than 19 years of age.
- • 85% of cases are in patients older than 19 years of age.
- • Most common in the third decade of life (20-40 years).
- • Women are more commonly affected.
Causes
- • The cause may be due to a mutation in the H3F3A gene which is present in of 90% of GCTs.
- • RANKL is also highly expressed in the cells of a Giant Cell Tumor, and is the target for most therapies.
Common Bones Involved
- • Femur
- • Tibia
- • Radius
- • Sacrum
- • Skull
Signs and Symptoms
- • Pain.
- • Tender mass in the region of the affected bone.
- • Sometimes muscle wasting away due to disuse.
- • Weakness of the affected extremity.
- • Bone breakage (pathological fracture).
Biological Behavior
- • Giant Cell Tumors are benign aggressive tumors that destroy bone and invade soft tissues.
- • There is high risk of the tumor coming back (recurrence).
- • Despite being benign, on rare occasions the GCT can metastasize to the lungs and involve multiple different bones.
Diagnosis
- • The work-up often consists of a physical examination, X-rays, CT scans, MRI, and sometimes bone scans are required.
- • The diagnosis is often confirmed with a biopsy, which means taking a sample of tumor and having it analyzed under a microscope by a pathologist.
Risk to your limbs
Giant Cell Tumors are benign aggressive tumors that, if left unchecked, will grow and destroy normal bone and invade soft tissue. As the tumor grows, the bone is weakened and you are at an increased risk of breaking the bone due to the tumor (called a pathological fracture).
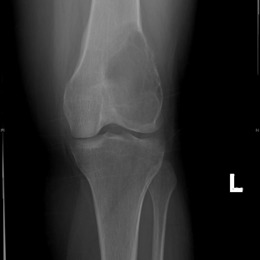
Radiographic imaging is used to help form a diagnosis. These include X-Ray, MRI, CT and Bone Scans.
An example of a Giant Cell Tumor X-Ray is shown.

Treatment of Giant Cell Tumor of Bone
The surgery we use to treat this condition is known as an extensive curettage resection, cryotherapy, and bone grafting and fixation. Curettage means to scoop the tumor out using a spoon-like tool called a curette. This is a surgery that aims to remove the mass and restore the bone so that the patient can get back to normal function.
Intralesional Curettage
Intralesional Curettage means to scoop the tumor out using a spoon-like tool called a curette. This is a surgery that aims to remove the mass and restore the bone so that the patient can get back to normal function. The ABC is identified within the bone and scooped, or curetted, out. The cavity is then shaved down with a Midas Rex Drill, which is similar to a dental drill. This drill removes more tumor cells.
Cryosurgery
It is a specialized technique that only a handful of surgeons in the country know how to perform. Once the tumor is removed, liquid nitrogen may be poured into the bone cavity to freeze the area to sub zero temperatures in order to kill microscopic tumor cells. This reduces the chances of the tumor coming back to less than 5%. Warm fluid is also used to prevent normal tissues from freezing.
Bone Grafting and Fixation
The empty bone cavity is usually filled with bone graft or bone cement. Bone can be donated (allograft) or taken from the patient themselves (autograft). Fixation devices, such as a plate and screws, may be used in specific situations to prevent postoperative fracture.
