What is a Limb-Sparing Surgery of the Tibia/Knee?
The knee joint consists of your distal femur (lower part of thigh bone), tibia (shin bone), fibula, and patella. The proximal tibia (upper part of shin bone) is a relatively common site for primary bone sarcomas, metastatic disease, and aggressive benign tumors. The common muscles of this area include the gastrocnemius, soleus, and popliteus (calf muscles). Some of the tumors arising in this region include osteosarcomas, ewing’s sarcoma, and giant cell tumor. Limb-sparing surgery can be performed for approximately 95% of tumors arising from the proximal (upper) tibia. In some instances the extremity cannot be saved and a above the knee amputation is performed.
Contraindications for saving the limb may include neurovascular invasion, infection, pathological fracture, invasion of the pelvis, extensive disease, contamination from a poorly performed biopsy, recurrent disease.

What’s involved in the technique?
Incision

A long incision was made from the lower third of the femur to the upper two thirds of the tibia. The skin site where the biopsy was done previously is kept in tact with the tumor
Muscle Releases

Developing surgical planes (margins that are tumor free) and separating muscles that can be preserved and leaving those in continuity with the tumor that should be removed. This is based on preoperative MRI and intraoperative findings as well as the type of tumor.
Blood Vessel and Nerve Dissection

In rare cases a nerve (s) may need to be removed if it is involved by the bone sarcoma. For this procedure it is important to properly identify the popliteal, tibial, and peroneal arteries and veins as well as the tibial nerve. These are some of the major vessels (veins and arteries) and nerves surrounding your knee joint. Once the blood vessels and nerves are separated, they can be retracted (moved away from the tumor) and protected throughout the procedure.
Vessel Ligation

In the removal of the upper tibia, there are a series of vessels that are removed that allows the bundle of nerves to be safely removed from the area of the tumor.
Tumor Removal

After the muscles, nerves and vessels are safely removed, the diseased bone is resected.
Reconstruction

Reconstruction of the knee utilizing a specialized proximal tibia tumor prosthesis is the most common limb-sparing technique for bone sarcomas, soft-tissue sarcomas, or large benign aggressive tumors that have destroyed the bone arising in this area.
Prosthesis Components

These are the components of the prosthesis that is sized and built during the surgical procedure.
Prosthesis Inserted Schematic

This tibial prosthesis is sized and built during the surgical procedure then implanted. We cement the prosthesis into your bone and safely secure it in place.The length of bone removed is based on preoperative X-rays and MRI.
Muscle Rotation: Gastrocnemius Flap

The use of a gastrocnemius rotational flap is a key factor in achieving soft tissue coverage of the entire prosthesis. This transfer of the medial gastrocnemius muscle to cover the prosthesis, significantly decreases the chance of infection.
Soft Tissue Coverage

Multiple muscle rotation flaps are used to restore function and stability of the elbow as best as possible. The goal is to provide a stable elbow so the extremity can function well. Soft-tissue reconstruction that involves rotating and reattaching the muscles and restoring the function of the forearm muscles and biceps is most important for achieving optimal functional outcomes and for protecting the prosthesis from infection.
Fascia

When the gastrocnemius is crossed over the tibial prosthesis, the fascia (the layer of connective tissue surrounding the muscle) is removed to provide more surface area over the prosthesis.
Closure

We then close your incision with sutures and cover the surgical site with bandages. Multiple large drains may also be used to drain the surgical site and prevent a seroma (buildup of fluid).
Pre-Op MRI of Tumor

This is an MRI of the patient with a tumor located in their right tibia (upper left side of the image).
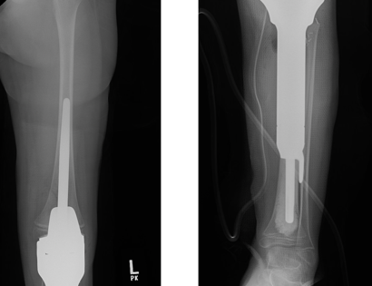
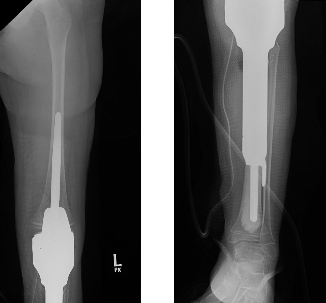
Proximal Tibia X-ray

This is an x-ray image of the tibial prosthesis post-surgically.
Intra-Op: Incision

This is a picture of a patient’s leg prior to surgery. The leg is marked from the knee to the lower calf to ensure that the incision being made is long enough for the tumor to be fully removed.
Intra-Op: Specimen Photo

This is an image of the diseased bone removed from the patient during surgery.
Intra-Op: Prosthesis Inserted

The prosthesis is inserted to match the length of the diseased bone removed and the prosthesis joint is attached to the upper femur bone.
Intra-Op: Soft Tissue Coverage

Muscle is used to cover the prosthesis and ensure protection and proper functioning post-surgically.
Intra-Op: Specimen Photo

This is an image of the tumor after being fully removed from the patient.
Intra-Op: Closure

This is an image of the patient post-surgically. The incision is fully closed with the drains inserted to drain the surgical site.
What you can expect afterwards
After your surgery you will spend a few nights in the hospital and then will be recuperating at home. Various pain protocols and nerve blocks are used to minimize pain. Mostly all patients are very comfortable after the surgery. For the first few days you will ice the area and keep it elevated to reduce swelling. You will return to the office 2 weeks after surgery. Patients are usually kept in a knee brace with the knee fully extended for 6 weeks to allow tendon and muscle to heal down to the prosthesis. This is important for the ultimate function of the prosthesis as the biggest difficulty after this surgery is extending the knee completely. After 6 weeks, the muscle and tendon should be healed down to the prosthesis sufficiently to start controlled knee flexion in the brace. You will then proceed to flex the knee 10-20 degrees per week in the brace. You will be advanced 10-20 degrees per week provided you can get your knee straight on your own in the brace. In addition, once cleared, you will subsequently start physical therapy. We usually prescribe specific physical therapy protocols 3 times a week for 12 weeks after surgery to gradually strengthen muscles. Strengthening with significant resistance after sufficient range of motion is achieved as determined by Dr. Wittig. There may be an ultimate weight limit imposed upon you depending on various factors.
You will be monitored periodically with X-ray and MRI imaging over the course of 5 years to ensure there are no signs of recurrence. You will have follow up appointments every 4 months for the first 2 years, then every 6 months for the next 2 years, and then once a year. Since the integrity of the limb has been restored to full or almost full, recovery is anticipated provided the patient adheres to strict physical therapy.
Proximal Tibia Prosthetic Replacement Video
Dr. James Wittig narrates a video illustrating the surgical technique for resection of a proximal tibia tumor and reconstruction using a proximal tibia tumor prosthesis. | WATCH VIDEO
