What is Myxoid Liposarcoma?
Myxoid Liposarcoma is the second most common group of adipocytic/lipogenic sarcomas accounting for about 30% to 35% of all liposarcomas. It is a malignant tumor histologically characterized by round to oval mesenchymal cells, small signet ring lipoblasts, and a rich network of capillaries in a myxoid stroma. Myxoid Liposarcoma most commonly occurs deep in the soft-tissues of lower and upper extremities, or less commonly in the retroperitoneum.
Who is usually affected?
- • The majority of cases occur between the ages of 50-70.
- • Slightly more common in males, and most frequent in the Caucasian population.
Causes
- • Aside from the uncontrollable growth of abnormal cells to create a fatty mass, there is no known cause.
Common Sites Involved
- • Lower extremities- the thigh is the most common site
- • Upper extremities
- • Soft-tissues of the head and neck
- • Retroperitoneum
- • Can metastasize to lungs, liver, lymph nodes and other bones.
Signs and Symptoms
- • Most patients present with an enlarging, painless mass.
- • About 30% of patients may have dull aching pain or tenderness.
- • Some patients report trauma in the affected area (trauma does not cause MLPS) and the MLPS may be misconstrued as a hematoma or muscle strain.
Biological Behavior
- • MLPS have shown 69 – 100% of disease-specific survival .
- • High risk of local recurrence.
- • 1 in 3 patients present with metastases and often occur in unusual sites before metastasizing to the lungs, such as soft-tissue or bone.
- • Important prognostic factors are age of the patient and presence of Round cell component.
- • The presence of hypercellularity or round cell differentiation is associated with worsening prognosis and higher rate of metastases.
- • The prognosis for multifocal myxoid liposarcoma is poor.
Diagnosis
- • The work-up for myxoid liposarcoma often consists of a physical examination, X-ray, MRI, CT, and bone scans. Also, a bone scan, CT PET scan, and CT chest/abdomen/pelvis may be ordered to check if the tumor has spread, or metastasized, to the chest/abdomen/ pelvis or other parts of the body. The diagnosis is often confirmed with a biopsy, which samples the tumor for further analysis.
Risk to your limbs
Myxoid liposarcoma is a malignant soft-tissue sarcoma that has a high rate of local recurrence. Important risk factors include a high-grade tumor, P53 over-expression, necrosis, and multifocality. As all soft-tissue sarcomas, myxoid liposarcomas grow in the soft-tissues of the extremities and compromise or destroy the affected soft-tissue and muscles. These tumors can compress or stretch important vessels and nerves, and occasionally wrap around these structures making it difficult to remove the mass without an amputation. They also have the potential to invade adjacent bones. Without treatment, these tumors can metastasize or spread throughout the body, with the lungs, liver, and bones being the most common sites.
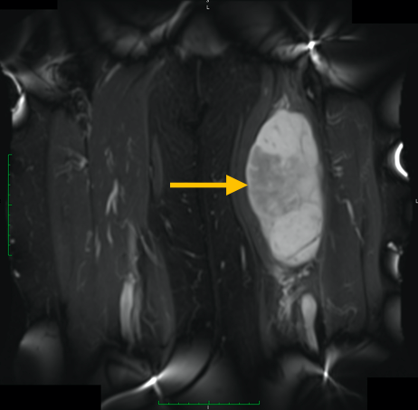
Radiographic imaging is used to help form a diagnosis. These include X-Ray, MRI, CT and Bone Scans.
An example of an MRI is shown.

Treatment of Myxoid Liposarcoma
The treatment of myxoid liposarcoma includes surgical excision through wide or radical resections. Limb-sparing surgery is performed whenever possible, however if the tumor compresses, stretches, or is wrapped around vital nerves and vessels then an amputation may be performed. Additionally, radiation and/or chemotherapy may be administered as treatment.
Surgery
Surgical treatment includes wide or radical resections to remove the complete tumor and additional margins. The removal of additional, surrounding margins ensures that the tumor is completely removed and decreases the chances of the tumor coming back.
Chemotherapy
Chemotherapy is a systemic treatment option for some cancers, meaning the chemotherapy drugs travel throughout the body and can kill the cancerous cells that have metastasized, or spread throughout. Chemotherapy is used to treat cancer, control/prevent cancer from spreading, and ease the symptoms related to the cancer. There are various drugs used in chemotherapy, so the combinations of drugs administered and the number of cycles may differ between each person and tumor. Lastly, chemotherapy may be used in conjunction with other treatments, specifically local treatments such as surgery.
Radiation
Radiation is a treatment option for some cancers. Radiation therapy is a localized treatment that utilizes high-energy particles or waves to kill cancerous cells. Because radiation therapy is a localized treatment, it only affects the area in which it is set to target and therefore eliminates the risks of damaging healthy cells throughout the body. Not only is it used to treat cancer, but it can also decrease the chances of the cancer from recurring. Lastly, radiation may be used in conjunction with other treatments, such as surgery or chemotherapy, to treat cancers.
