What is an Osteoblastoma?
A rare, benign and aggressive tumor that produces bone. Osteoblastomas are rare tumors and constitute about 1% of excised primary bone tumors.
Who is usually affected?
- • 80% of cases are between the ages of 10 and 30, with a median age of 18.
- • Is more common in men with a 2:1 sex ratio.
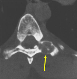
Common Bones Involved
- • Sites include the long bones and spine.
- • 50% occur in the spine most commonly in the posterior elements.
Signs and Symptoms
- • Signs and symptoms include pain and swelling, and if in the spine, a pinched nerve.
Causes
- • The exact cause of osteoblastomas are unknown.
Diagnosis
- • The work-up often consists of a physical examination, X-rays, CT scans, MRI, and sometimes bone scans are required.
- • The condition is often confirmed with a biopsy, which means taking a sample of tumor and having it analyzed under a microscope by a pathologist.
Biological Behavior
- • Osteoblastomas may be associated with secondary aneurysmal bone cysts (ABCs) that can be detected on MRI in 15 % of cases. This does not change the treatment.
- • Tumors are usually 4 to 6cm in size.
- • They have a high risk of recurring, or coming back after removal.
Risk to your limbs
Osteoblastomas are noncancerous but aggressive tumors that, if left unchecked, will grow and destroy your normal bone and invade the surrounding tissues. Clinically, local pain and swelling may be the first signs of an osteoblastoma. They have a high risk of recurring (coming back after removal) especially in the spine.
Radiographic imaging is used to help form a diagnosis. These include X-Ray, MRI, CT and Bone Scans.
An example of an CT is shown.

Treatment of Osteoblastoma
In the long bones, surgery usually consists of an intralesional curettage with burr drilling combined with bone graft and/or bone cement and possible fixation with some form of plates and screws or intramedullary rods. Since these have a risk of recurring other adjuvants such as liquid nitrogen or argon beam ablation are also often utilized to kill microscopic cells and minimize the risk of the tumor coming back. In the spine, a wide en-bloc resection is usually performed whenever possible. En-bloc means to remove in one piece with surrounding normal bone. Cryosurgery and argon beam are usually not performed given the proximity to spinal canal or important nerves. Spinal stabilization may be required if the removal destabilizes the spine.
Intralesional Curettage
Intralesional Curettage means to scoop the tumor out using a spoon-like tool called a curette. This is a surgery that aims to remove the mass and restore the bone so that the patient can get back to normal function. The ABC is identified within the bone and scooped, or curetted, out. The cavity is then shaved down with a Midas Rex Drill, which is similar to a dental drill. This drill removes more tumor cells.
Bone Grafting and Fixation
The empty bone cavity is usually filled with bone graft or bone cement. Bone can be donated (allograft) or taken from the patient themselves (autograft). Fixation devices, such as a plate and screws, may be used in specific situations to prevent postoperative fracture. This example of an X-ray shows the bone graft filled in nicely. It looks particulate. In this case, the patient was placed in a cast to protect from fracture and allow the graft to heal.
Cryosurgery
It is a specialized technique that only a handful of surgeons in the country know how to perform. Once the tumor is removed, liquid nitrogen may be poured into the bone cavity to freeze the area to sub zero temperatures in order to kill microscopic tumor cells. This reduces the chances of the tumor coming back to less than 5%. Warm fluid is also used to prevent normal tissues from freezing.
