What is a Periosteal Osteosarcoma?
Periosteal Osteosarcoma is a cancerous bone tumor that produces bone. This is the most common type of bone tumor. This type of tumor occurs primarily in the bone of the femur, and humerus.
Who is usually affected?
- • Primarily Adults
- • There is a higher prevalence in men
- • Most cases occur between 15 and 30 years old
Causes
- • There are links to the mutations in the TP53 gene.
Common Bones Involved
- • Femur (upper leg)
- • Humerus (upper arm)
- • Ulna & Radius (forearm)
- • Tibia & Fibula (lower leg)
- • Phalanx (bone of a finger or toe)
Signs and Symptoms
- • Local swelling and bone or joint pain.
- • Pain may worsen with activity.
- • A potential noticeable lump or mass.
Biological Behavior
- • Periosteal Osteosarcomas malignant (cancerous) tumors that destroy bone
- • They are typically slow-growing
- • There is a moderate risk of recurrence after removal (resection) of the tumor
Diagnosis
- • The work-up often consists of physical examination, X-rays, CT scans, MRI, and sometimes bone scans are required.
- • The diagnosis is often confirmed with a biopsy, which means taking a sample of tumor and having it analyzed
Risk to your limbs
Periosteal Osteosarcomas are cancerous aggressive tumors that, if left unchecked, will grow and destroy your normal bone. Clinically, local pain and swelling may be the first signs. As the tumor slowly grows, the bone is weakened and you are at an increased risk of breaking the bone due to the tumor (called a pathological fracture).
Radiographic imaging is used to help form a diagnosis. These include X-Ray, MRI, CT and Bone Scans.
An example of an X-Ray is shown.

Treatment of Periosteal Osteosarcoma
The form of treatment depends on the grade (how abnormal the cancer cells and tumor tissue are). The primary form of treatment is surgical removal (wide excision). This is a surgery that aims to remove the mass so that the patient can get back to normal function. Depending on whether the tumor has already spread to other parts of the body, chemotherapy may need to be considered prior to surgery.
Limb Sparing Surgery
The removal of a tumor from a limb without having to remove the limb itself. The tumor will be removed and samples of tissue will be checked by a pathologist to ensure that only healthy tissue is left after removal. Reconstruction of weight-bearing bones is then undergone using bones from another individual (allograft) or their own (autograft). Once the bone graft is placed, the graft will grow into the original bone and heal. Rejection of a bone graft is rare as the bone itself is inactive.
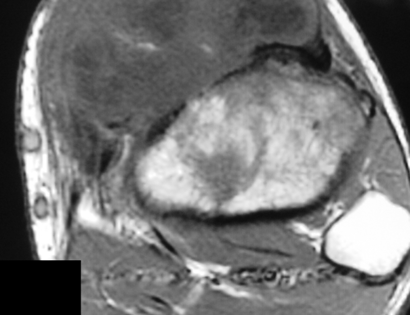
MRI of a Periosteal Osteosarcoma

This image shows a MRI of a Periosteal Osteosarcoma. It is a large mass on the left side of the photo.
MRI of Periosteal Ostesarcoma

