What is Alveolar Soft Part Sarcoma?
Alveolar Soft Part Sarcoma is a rare, malignant (cancerous) soft-tissue tumor that can affect fats, muscles, nerves, tendons, blood vessels, and lymph vessels. It most commonly affects adolescents and young adults. Early treatment is necessary because it can spread, or metastasize, to other parts of the body including the lungs, liver, brain, or bone. Treatment commonly consists of systemic and local treatment, such as surgical excision of the tumor.
Who is usually affected?
- • Affects adolescents and young adults aged 15-35 years old.
- • Slightly more common in females than males.
- • Rare- less than 1% of soft tissue sarcomas.
Causes
- • This condition is characterized by a genetic translocation t(x;17)(p11;q25) and becomes chimeric ASPSCR1-transcription factor E3 (TFE3). It is not passed down to children (non hereditary).
Signs and Symptoms
- • Signs and symptoms include a growing, painless, and palpable mass.
Biological Behavior
- • This condition has been linked to a genetic component, called a chromosomal translocation.
Common Sites Involved
- Soft-tissues of the:
- • thigh (most common site)
- • buttock
- • head
- • neck
- • Can metastasize to lungs, liver, brain, and bone.
Diagnosis
- • The work-up often consists of a physical examination, MRI, and CT scans. Also, a bone scan, CT PET scan, and CT chest/abdomen/pelvis may be ordered to check if the tumor has spread, or metastasized, to the chest/abdomen/ pelvis or other parts of the body. The diagnosis is often confirmed with a biopsy, which samples the tumor for further analysis.
Risk to your limbs
Alveolar Soft Part Sarcoma is a rare, cancerous soft-tissue sarcoma. Soft-tissue sarcomas, such as this condition, grow in the soft-tissues of the extremities and compromise or destroy the affected soft-tissue and muscles. These tumors can compress or stretch important vessels and nerves, and occasionally wrap around these structures making it difficult to remove the mass without an amputation. They also have the potential to invade adjacent bones. Without treatment, this condition can metastasize or spread throughout the body, with the lungs, liver, and bones being the most common sites.
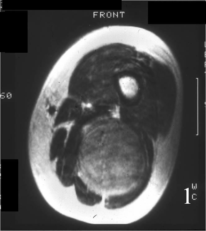
Radiographic imaging is used to help form a diagnosis. These include MRI, CT and Bone Scans.
An example of an MRI is shown.

Treatment of Alveolar Soft Part Sarcoma
The treatment for Alveolar Soft Part Sarcoma includes limb-sparing surgery to remove the mass with a wide or radical resection. Systemic treatments, such as chemotherapy and radiation, may also be used to treat this condition, especially if the cancer has metastasized, or spread to other parts of the body.
Surgery
Surgical treatment includes wide or radical resections to remove the complete tumor and additional margins. The removal of additional, surrounding margins ensures that the tumor is completely removed and decreases the chances of the tumor coming back.
Chemotherapy
Chemotherapy is a systemic treatment option for some cancers, meaning the chemotherapy drugs travel throughout the body and can kill the cancerous cells that have metastasized, or spread throughout. Chemotherapy is used to treat cancer, control/prevent cancer from spreading, and ease the symptoms related to the cancer. There are various drugs used in chemotherapy, so the combinations of drugs administered and the number of cycles may differ between each person and tumor. Lastly, chemotherapy may be used in conjunction with other treatments, specifically local treatments such as surgery.
Radiation
Radiation is a treatment option for some cancers. Radiation therapy is a localized treatment that utilizes high-energy particles or waves to kill cancerous cells. Because radiation therapy is a localized treatment, it only affects the area in which it is set to target and therefore eliminates the risks of damaging healthy cells throughout the body. Not only is it used to treat cancer, but it can also decrease the chances of the cancer from recurring. Lastly, radiation may be used in conjunction with other treatments, such as surgery or chemotherapy, to treat cancers.
