What is a Periosteal Chondroma?
Who is usually affected?
- • Occurs at all ages but usually in ages less than 30 years old.
- • More common in males with 2:1 sex ratio.
Causes
- • The cause is unknown.
Common Bones Involved
- • 50% of all cases occur in the long bone of the arm, called the humerus.
Signs and Symptoms
- • Usually an incidental finding on imaging with no symptoms but sometimes a possible symptomatic mass that is mildly painful.
Biological Behavior
- • There is no metastasis, no malignant change, it is not aggressive and a very rare occurrence.
- • It usually grows up to 5 cm and then stops growing.
Diagnosis
- • Diagnostic testing includes X-ray, MRI and needle biopsy.
- • Sometimes a CT scan may be necessary.
- • The diagnosis is often confirmed with a biopsy, which means taking a sample of tumor and having it analyzed under a microscope by a pathologist.
Risk to your limbs
Periosteal Chondromas are benign but aggressive tumors that, if left unchecked, will grow and destroy your normal bone. As the tumor slowly grows, the bone is weakened and you are at an increased risk of breaking the bone due to the tumor (called a pathological fracture). They will not spread to your lungs or other bones.
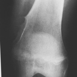
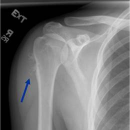
Radiographic imaging is used to help form a diagnosis. These include X-Ray, MRI, CT and Bone Scans.
An example of a X-Ray is shown.

Treatment of Periosteal Chondroma
Treatments include en bloc excision with margins, Another option if biopsy proven to be benign is observation of the tumor if the patient is asymptomatic and the tumor causes no pain. The standard of treatment includes a marginal excision without the removal of the surrounding tissue.
Intralesional Curettage
Intralesional Curettage means to scoop the tumor out using a spoon-like tool called a curette. This is a surgery that aims to remove the mass and restore the bone so that the patient can get back to normal function. The ABC is identified within the bone and scooped, or curetted, out. The cavity is then shaved down with a Midas Rex Drill, which is similar to a dental drill. This drill removes more tumor cells.
Cryosurgery
It is a specialized technique that only a handful of surgeons in the country know how to perform. Once the tumor is removed, liquid nitrogen may be poured into the bone cavity to freeze the area to sub zero temperatures in order to kill microscopic tumor cells. This reduces the chances of the tumor coming back to less than 5%. Warm fluid is also used to prevent normal tissues from freezing.
Bone Grafting and Fixation
The empty bone cavity is usually filled with bone graft or bone cement. Bone can be donated (allograft) or taken from the patient themselves (autograft). Fixation devices, such as a plate and screws, may be used in specific situations to prevent postoperative fracture.
