What is a Clear Cell Chondrosarcoma?
A clear cell chondrosarcoma is a slightly aggressive cancerous (malignant) tumor or neoplasm. It is a cancerous tumor, and can lead to bone destruction. It is a slow growing tumor that will not spread to other parts of the body in most cases.
Who is usually affected?
- • Most commonly affects adolescents to elderly.
- • Men are more commonly affected.
- • Most common cases occur between the ages of 30-50.
Causes
- • There is currently no known cause of clear cell chondrosarcoma.
Common Bones Involved
- • Femur
- • Humerus
- • Tibia
Signs and Symptoms
- • Pain and swelling
- • Difficulty with motion
- • Pain usually lasts over a long period of time
Biological Behavior
- • These are malignant slightly aggressive tumors that destroy bone.
- • There is some risk of the tumor coming back (recurrence) after surgical removal (excision), depending on the location and the proportion of cellular tissue.
- • The risk of the tumor spreading (metastasis) is common.
Diagnosis
- • The work-up often consist of a physical examination, X-rays, CT scans, MRI, and sometimes bone scans are required.
- • The diagnosis is often confirmed with a biopsy, which means taking a sample of tumor and having it analyzed under a microscope by a pathologist.
Risk to your limbs
Clear Cell Chondrosarcoma are malignant slightly aggressive tumors that, if left unchecked, will lead to the spreading of the cancer and slow growth of the tumor. Clinically, local pain may be the first sign of a growing tumor. As the tumor grows, the bone is weakened are you are at an increased risk of breaking the bone due to the tumor (called a pathological fracture).
Radiographic imaging is used to help form a diagnosis. These include X-Ray, MRI, CT and Bone Scans.
Treatment of Clear Cell Chondrosarcoma
Surgical treatment includes resections to remove the complete tumor and additional margins. The removal of additional, surrounding margins ensures that the tumor is completely removed and decreases the chances of the tumor coming back. The surgery we use to treat this condition is known as En Bloc Resection. En Bloc Resection means to remove the tumor surgically in its entirety.
Surgery

Most common treatment is wide radical limb sparing surgery. Surgical treatment includes wide or radical resections to remove the complete tumor and additional margins. The removal of additional, surrounding margins ensures that the tumor is completely removed and decreases the chances of the tumor coming back.
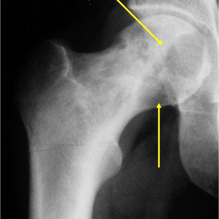
X-Ray of Clear Cell Chondrosarcoma

On an X-Ray, also called a radiograph, a clear cell chondrosarcoma can be diagnosed by looking at certain features. Most commonly seen in a clear cell chondrosarcoma is usually osteolytic, expansile lesion, that may be focally calcified, often a sharp interface between tumor and surrounding bone and the overlying cortex is usually thin, but intact.
X-Ray of Clear Cell Chondrosarcoma

