What is an Osteosarcoma?
A Conventional Osteosarcoma is a cancerous bone tumor. It comes from within the bone (intramedullary). It is a cancerous tumor, and can lead to bone destruction. It is a slow growing tumor that will not spread to other parts of the body in most cases.
Who is usually affected?
- • Primarily Adults
- • There is a higher prevalence in men
- • Most cases occur between birth and 20 years old
- • There is also a peak of cases in adults aged 65 or older
- • Rare; 5 per million a year
Causes
- • There is a possible genetic component. There are links to the mutations in tumor-suppressor genes.
Common Bones Involved
- • Femur
- • Humerus
- • Clavicle
- • Scapula
- • Pelvis
Signs and Symptoms
- • Local swelling and bone or joint pain.
- • Pain may worsen with activity.
- • Decreased motion.
- • A potential noticeable lump or mass.
Biological Behavior
- • Conventional Osteosarcomas are malignant (cancerous) tumors that destroy bone.
- • They are typically slow-growing.
- • There is a moderate risk of recurrence after removal (resection) of the tumor.
Diagnosis
- • The work-up often consists of a physical examination, X-rays, CT scans, MRI, and sometimes bone scans are required. CT scans can be used to check for subtle mineralization that may help with the diagnosis
- • CT of the chest is necessary to check for pulmonary metastases. The lungs and other bones are the to most common sites for the tumor to spread.
- • The diagnosis is often confirmed with a biopsy, which means taking a sample of tumor and having it analyzed under a microscope by a pathologist.
Risk to your limbs
Conventional Osteosarcomas cancerous aggressive tumors that, if left unchecked, will grow and destroy your normal bone. As the tumor slowly grows, the bone is weakened and you are at an increased risk of breaking the bone due to the tumor (called a pathological fracture). They may also spread to your lungs or other bones.
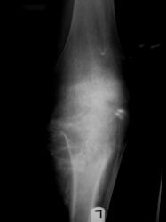
Radiographic imaging is used to help form a diagnosis. These include X-Ray, MRI, CT and Bone Scans.
An example of a Conventional Osteosarcoma X-Ray is shown.

Treatment of Conventional Osteosarcoma
The form of treatment depends on the grade (how abnormal the cancer cells and tumor tissue are) of the CO. The primary form of treatment is surgical removal (wide excision). This is a surgery that aims to remove the mass so that the patient can get back to normal function. Depending on whether the tumor is slow-growing (low-grade) or fast-growing (high-grade), chemotherapy may need to be considered prior to surgery.
Limb Sparing Surgery

The removal of a tumor from a limb without having to remove the limb itself. The tumor will be removed and samples of tissue will be checked by a pathologist to ensure that only healthy tissue is left after removal. Reconstruction of weight-bearing bones is then undergone using bones from another individual (allograft) or their own (autograft). Once the bone graft is placed, the graft will grow into the original bone and heal. Rejection of a bone graft is rare as the bone itself is inactive.
Chemotherapy

Chemotherapy is a systemic treatment option for some cancers, meaning the chemotherapy drugs travel throughout the body and can kill the cancerous cells that have metastasized, or spread throughout. Chemotherapy is used to treat cancer, control/prevent cancer from spreading, and ease the symptoms related to the cancer. There are various drugs used in chemotherapy, so the combinations of drugs administered and the number of cycles may differ between each person and tumor. Lastly, chemotherapy may be used in conjunction with other treatments, specifically local treatments such as surgery.
Radiation

Radiation may be considered if the tumor is unresectable or if a wide margin can not be achieved with surgery such as with large pelvic tumors. Radiation would be used as an adjuvant to eradicate any residual microscopic disease. It is important to note it is not the first treatment option for conventional osteosarcoma.
