What is Myeloma?
A type of bone marrow cancer made from plasma cells that can cause tumors in the bone that weaken the bone. Plasma cells are normal cells in the blood that make antibodies. Bone marrow is the spongy tissue at the center of bones that produces the body’s blood cells. It is technically the most common type of primary bone cancer. It is not a sarcoma however. It is considered a blood born cancer arising from cells in the blood/bone marrow (a hematological cancer).
Who is usually affected?
- • More common in men with an approximately 2:1 sex ratio.
- • Twice as common in black populations compared to white and Asian populations.
- • More common in adults over 60 years old, with the most common in age at diagnose being 70 years old.
- • Cases of myeloma in patients less than age 40 are rare.
- • There is an increased risk of developing the disease if a family member has myeloma.
Biological Behavior
- • Myeloma is a systemic disease meaning it affects the entire body. This can result in kidney problems, immunity problems, blood clotting disorders and nerve conditions.
- • Patients are at higher risk for complications following surgeries or when taking types of medications such as NSAIDs, which can make kidney problems worse.
- • A condition called amyloidosis can also be caused by myeloma, causing proteins to be deposited throughout the body.
Causes
- • There is a close link with another condition called Monoclonal Gammopathy of Unknown Significance (MGUS). 1 in 100 people with MGUS will develop myeloma.
Common Bones Involved
- • The most common sites are the areas that concentrate red bone marrow where the plasma cells arise including: spine, pelvis and the upper femur (thigh bone).
Signs and Symptoms
- • Persistent bone pain.
- • High levels of calcium in the blood (hypercalcemia) causing extreme thirst, stomach pain, frequent urination, constipation, confusion, weight loss, blurred vision, repeated infections.
- • Low blood iron levels (anemia) causing tiredness, weakness and shortness of breath.
- • Fracture due to weakening of the bone. Myeloma does not usually cause a lump or a tumor but a hole in the bone that the patient can fracture through.
Diagnosis
- • Imaging includes X-rays of multiple bones called a skeletal survey. MRI, CT and PET Scans may also be used as well as bone scans. Twenty percent of myeloma tumors will not show up on a bone scan.
- • The diagnosis is often confirmed with a biopsy of the bone tumor, which means taking a sample of tumor and having it analyzed under a microscope by a pathologist.
- • Blood (Serum Protein Electrophoresis; SPEP) and urine tests (UPEP; Urine Protein Electrophoresis) and bone marrow biopsy (aspiration) are also used to diagnose the condition.
Risk to your limbs
Myeloma tumors can weaken the bone and result in a fracture (pathological fracture) and may require various orthopedic treatments and fixation methods to either treat a fracture or prevent a fracture from occurring (prophylactic fixation). Fixation can be with special prosthetic and joint replacements, metal rods or plates and screws. Cement may be used to strengthen the bone and make the fixation methods more durable.
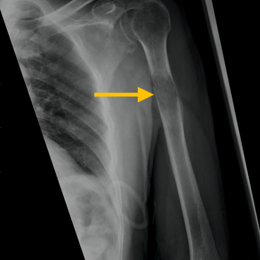
Radiographic imaging is used to help form a diagnosis of Myeloma. These include X-Ray, MRI, CT and Bone Scans.
An example of a Myeloma X-ray is shown. Myeloma may present as a diffuse osteoporosis with the bones throughout the body looking very thin on X-rays.

Treatment of Myeloma
Most cases cannot be cured, but the condition is very treatable. Treatment includes anti-myeloma medicines to destroy the cancer cells, medicines to prevent and treat associated problems such as bone pain, procedures to prevent or heal fractures caused by the cancer weakening the bone, chemotherapy, radiation, steroids and stem cell transplants.
Bone Grafting and Fixation

The empty bone cavity is usually filled with bone graft or bone cement. Bone can be donated (allograft) or taken from the patient themselves (autograft). Fixation devices, such as a plate and screws, may be used in specific situations to prevent postoperative fracture.
Bone Strengthening Medications

Bisphosphonate therapy and Xgeva (bone strengthening medications) have been shown in myeloma patients to decrease the number of fractures and the number of tumors that develop in the bone.
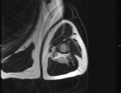
MRI of Myeloma

This is an MRI of Myeloma. Advanced imaging such as MRI, or magnetic resonance imaging, is used to help diagnose the disease and show the extent of the disease.
