What is a Hemangiopericytoma?
Hemangiopericytoma of the bone is a tumor or neoplasm that comes from the cells present at the walls of capillaries (tiny blood vessels).
Who is usually affected?
- • There are no significant differences in gender and race.
- • They are more common among middle-aged individuals than in infants and children.
- • 40% of cases occur in ages 50 to 60.
Causes
- • Can be due to the same chromosomal translocation as a Ewing’s sarcoma which is a small round blue cell cancer. (t11;22 or EWS/FLI 1)
Signs and Symptoms
- • Signs and symptoms include pain and swelling.
- • ⅓ of patients are symptomatic for more than one year.
Biological Behavior
- • Exceedingly rare.
Common Bones Involved
- • Pelvis
- • Femur
- • Spine
- • Humerus
Diagnosis
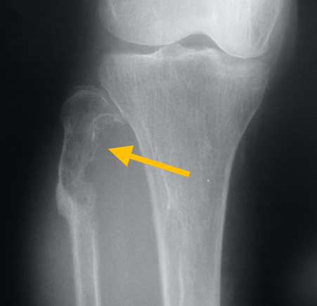
- • The work-up often consists of a physical examination, X-rays, CT scans, MRI, and sometimes bone scans are required. CT scans can be used to check for subtle mineralization that may help with the diagnosis
- • CT of the chest is necessary to check for pulmonary metastases. The lungs and other bones are the to most common sites for the tumor to spread.
- • The diagnosis is often confirmed with a biopsy, which means taking a sample of tumor and having it analyzed under a microscope by a pathologist.
Risk to your limbs
Hemangiopericytomas are cancerous aggressive tumors that, if left unchecked, will grow and destroy your normal bone. Clinically, local pain and swelling may be the first signs. As the tumor slowly grows, the bone is weakened and you are at an increased risk of breaking the bone due to the tumor (called a pathological fracture). They may also spread to your lungs or other bones.
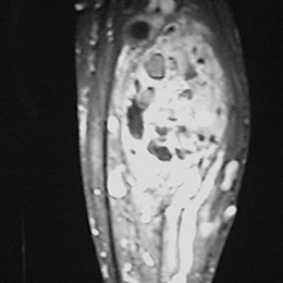
Radiographic imaging is used to help form a diagnosis. These include X-Ray, MRI, CT and Bone Scans.
An example of an MRI is shown.

Treatment of Hemangiopericytoma
Due to its rarity, there are no guidelines for its optimal treatment. Treatment should be aggressive and individualized. Treatment usually involves surgical removal and chemotherapy. Most patients are treated with a combination of surgery and chemotherapy. Most common treatment is wide radical limb sparing surgery. There are two kinds: round cell variation and hemangiopericytoma-like variation. Treatment for round cell variation includes a combination of chemotherapy, radiation and wide surgical resection. And for hemangiopericytoma-like variation includes chemotherapy and wide surgical resection only without radiation.
Intralesional Curettage

Intralesional Curettage means to scoop the tumor out using a spoon-like tool called a curette. This is a surgery that aims to remove the mass and restore the bone so that the patient can get back to normal function. The lesion is identified within the bone and scooped, or curetted, out. The cavity is then shaved down with a Midas Rex Drill, which is similar to a dental drill. This drill removes more tumor cells.
Cryosurgery

It is a specialized technique that only a handful of surgeons in the country know how to perform. Once the tumor is removed, liquid nitrogen may be poured into the bone cavity to freeze the area to sub zero temperatures in order to kill microscopic tumor cells. This reduces the chances of the tumor coming back to less than 5%. Warm fluid is also used to prevent normal tissues from freezing.
Bone Grafting and Fixation

The empty bone cavity is usually filled with bone graft or bone cement. Bone can be donated (allograft) or taken from the patient themselves (autograft). Fixation devices, such as a plate and screws, may be used in specific situations to prevent postoperative fracture.
