What is Leiomyosarcoma?
A primary leiomyosarcoma of bone is a rare malignant bone tumor. Leiomyosarcoma of soft-tissue is a rare malignant spindle cell tumor (sarcoma) composed of cells which demonstrate smooth muscle differentiation. This tumor is malignant, meaning if it isn’t treated or removed that it will have a high risk of spreading to other parts of the body, and may reoccur even after removal. Additionally, the prognosis will depend on grade, size and location of the tumor.
Who is usually affected?
- • Commonly affects young adults and children.
- • Middle-age persons is typically the main group affected (40s to 50s).
- • More common in women, except more common in men with it in subcutaneous tissue.
Signs and Symptoms
- • A noticeable mass
- • Pain, but the mass can also be painless
- • Broken bone due to the tumor (called a pathological fracture)
- • Usually do not develop symptoms until the mass grows more than 10 cm ( retroperitoneum)
Causes
- • The cause of leiomyosarcoma is currently unknown.
Biological Behavior
- • PLBs are rare malignant tumors.
- • There is some risk of the tumor coming back (recurrence) after taking the tumor out.
- • There is a higher rate of this tumor spreading to other parts of the body (metastasis).
- • Tumors may be very aggressive and invade surrounding tissues with prolonged diagnosis and treatment.
Common Sites Involved
- • Leiomyosarcoma of bone and soft-tissue commonly occurs in:
- • the retroperitoneal area (located behind the abdomen and peritoneum-organs
- • the pelvis
- • the femur
- • the tibia
Diagnosis
- • The work-up often consists of a physical examination, X-rays, CT scans, MRI, and sometimes bone scans are required.
- • The diagnosis is often confirmed with a biopsy, which means taking a sample of tumor and having it analyzed under a microscope by a pathologist.
Risk to your limbs
Leiomyosarcoma of bone is a malignant growth that, if not treated, will damage your normal bone. The first signs of leiomyosarcoma are a noticeable mass with pain associated. Depending on the location and size, the bone may break due to the tumor (called a pathological fracture). Additionally, as a soft-tissue sarcoma, leiomyosarcoma grows in the soft-tissues of the extremities and can compromise or destroy the affected soft-tissue and muscles. These tumors can compress or stretch important vessels and nerves, and occasionally wrap around these structures making it difficult to remove the mass without an amputation. They also have the potential to invade adjacent bones. Without treatment, leiomyosarcoma can metastasize or spread throughout the body, with the lungs, liver, and bones being the most common sites.
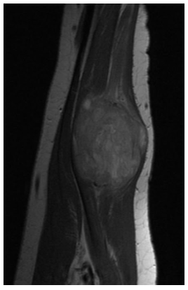
An example of an Leiomyosarcoma MRI is shown.

Treatment of Leiomyosarcoma
The treatment of leiomyosarcoma of both bone and soft-tissue includes complete resection of the sarcoma through limb-sparing surgery, such as wide or radical resections. Chemotherapy may also be used. The treatment likely depends on the size, location, grade, and type of leiomyosarcoma. Low-grade leiomyosarcoma may be treated with limb-sparing surgery and occasionally cryosurgery & curettage. High-grade leiomyosarcoma may be treated with limb-sparing surgery, chemotherapy, and/or radiation.
Surgery
Surgical treatment includes wide or radical resections to remove the complete tumor and additional margins. The removal of additional, surrounding margins ensures that the tumor is completely removed and decreases the chances of the tumor coming back.
Cryosurgery & Curettage
Intralesional Curettage means to scoop the tumor out using a spoon-like tool called a curette. This is a surgery that aims to remove the mass and restore the bone so that the patient can get back to normal function. The ABC is identified within the bone and scooped, or curetted, out. The cavity is then shaved down with a Midas Rex Drill, which is similar to a dental drill. This drill removes more tumor cells. It is a specialized technique that only a handful of surgeons in the country know how to perform. Once the tumor is removed, liquid nitrogen may be poured into the bone cavity to freeze the area to sub zero temperatures in order to kill microscopic tumor cells. This reduces the chances of the tumor coming back to less than 5%. Warm fluid is also used to prevent normal tissues from freezing.
Chemotherapy
Chemotherapy is a systemic treatment option for some cancers, meaning the chemotherapy drugs travel throughout the body and can kill the cancerous cells that have metastasized, or spread throughout. Chemotherapy is used to treat cancer, control/prevent cancer from spreading, and ease the symptoms related to the cancer. There are various drugs used in chemotherapy, so the combinations of drugs administered and the number of cycles may differ between each person and tumor. Lastly, chemotherapy may be used in conjunction with other treatments, specifically local treatments such as surgery.
