What is a Liposarcoma?
Liposarcoma is a malignant (cancerous) tumor that occurs in soft-tissues, also referred to as a soft-tissue sarcoma. This soft-tissue sarcoma presents as a growing mass that may coincide with pain. Liposarcomas are commonly found in the soft-tissues of the extremities, particularly the thigh, or in the abdomen (retroperitoneum). Due to the malignant nature, liposarcomas have the potential to recur, or come back. There are several subcategories to liposarcoma, including: low-grade (well differentiated) liposarcoma, myxoid liposarcoma, round cell liposarcoma, dedifferentiated liposarcoma, and pleomorphic liposarcoma
Who is usually affected?
- • Slightly more common in males.
- • Can occur in any age group, but a majority of cases occur between the ages of 50-65. Rare in children.
- • Slightly more common in individuals exposed to radiation, with a family history of cancer, damage to the lymphatic system, and long-term exposure to certain toxic chemicals, such as vinyl chloride.
Causes
- • Aside from the uncontrollable growth of abnormal cells to create a fatty mass, there is no known cause.
Common Sites Involved
- • Lower extremities
- • Upper extremities
- • Abdomen
Signs and Symptoms
- • Signs and symptoms may include pain, fever, chills, night sweats, weight loss, and/or fatigue.
- • A majority of patients present with a growing, fatty mass.
Biological Behavior
- • Form due to mutations and abnormalities of fat cells that lead to uncontrollable growth.
- • Soft-tissue sarcomas, such as liposarcomas, grow in the soft-tissues of the extremities and compromise or destroy the affected soft-tissue and muscles.
Diagnosis
- • The work-up for liposarcoma often consists of a physical examination, X-ray, MRI, CT, and bone scans. Also, a bone scan, CT PET scan, and CT chest/abdomen/pelvis may be ordered to check if the tumor has spread, or metastasized, to the chest/abdomen/ pelvis or other parts of the body. The diagnosis is often confirmed with a biopsy, which samples the tumor for further analysis.
Risk to your limbs
Liposarcoma is a malignant (cancerous) soft-tissue tumor. There are several subcategories to liposarcoma, including: low-grade (well differentiated) liposarcoma, myxoid liposarcoma, round cell liposarcoma, dedifferentiated liposarcoma, and pleomorphic liposarcoma. Soft-tissue sarcomas, such as liposarcomas, grow in the soft-tissues of the extremities and compromise or destroy the affected soft-tissue and muscles. These tumors can compress or stretch important vessels and nerves, and occasionally wrap around these structures making it difficult to remove the mass without an amputation. They also have the potential to invade adjacent bones. Without treatment, liposarcoma can metastasize or spread throughout the body, with the lungs, liver, and bones being the most common sites.
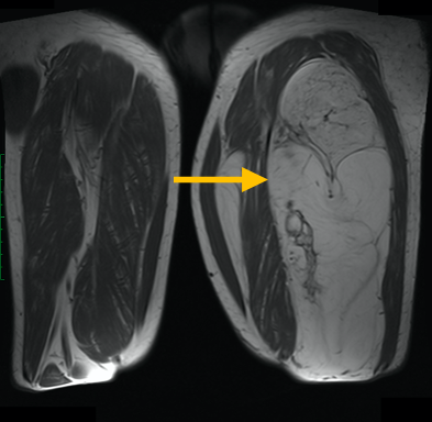
Radiographic imaging is used to help form a diagnosis of liposarcoma. These include X-Ray, MRI, CT and Bone Scans.
An example of an MRI is shown.

Treatment of Liposarcoma
The treatment of liposarcoma includes surgical resection of the tumor through a limb-sparing surgery. While surgical intervention is common, the type of surgery and treatment depends on the location, size, and type of liposarcoma. Chemotherapy and radiation are also used as treatment. Without the proper and effective treatment, liposarcomas pose various risks. Liposarcomas can compromise or destroy the affected soft-tissue and muscles. These tumors can compress or stretch important vessels and nerves, and occasionally wrap around these structures making it difficult to remove the mass without an amputation. They have the potential to metastasize or spread throughout the body, with the lungs, liver, and bones being the most common sites.
Surgery
Surgical treatment includes wide or radical resections to remove the complete tumor and additional margins. The removal of additional, surrounding margins ensures that the tumor is completely removed and decreases the chances of the tumor coming back.
Chemotherapy
Chemotherapy is a systemic treatment option for some cancers, meaning the chemotherapy drugs travel throughout the body and can kill the cancerous cells that have metastasized, or spread throughout. Chemotherapy is used to treat cancer, control/prevent cancer from spreading, and ease the symptoms related to the cancer. There are various drugs used in chemotherapy, so the combinations of drugs administered and the number of cycles may differ between each person and tumor. Lastly, chemotherapy may be used in conjunction with other treatments, specifically local treatments such as surgery.
Radiation
Radiation is a treatment option for some cancers. Radiation therapy is a localized treatment that utilizes high-energy particles or waves to kill cancerous cells. Because radiation therapy is a localized treatment, it only affects the area in which it is set to target and therefore eliminates the risks of damaging healthy cells throughout the body. Not only is it used to treat cancer, but it can also decrease the chances of the cancer from recurring. Lastly, radiation may be used in conjunction with other treatments, such as surgery or chemotherapy, to treat cancers.
