What is Pleomorphic Liposarcoma?
Pleomorphic liposarcoma is a high grade sarcoma of lipogenic (fatty/adipose) origin. It is a type of liposarcoma that has some lipoblasts mixed with mostly high grade pleomorphic appearing spindle cells. Pleomorphic liposarcomas are fast-growing, aggressive cancerous tumors that have the potential to metastasize, most commonly to the lungs. It is the least common subtype of liposarcomas, yet is treated similarly to other liposarcomas with surgical resection of the tumor.
Who is usually affected?
- • Rare- Represents 5 to 10% of all liposarcomas.
- • The majority of cases occur between the ages of 50-70 and rarely occurs in children.
- • There is no predilection for any race or sex.
- • Associated with post-radiation treatment in patients with neurofibromatosis.
Common Sites Involved
- • A majority of cases occur in the lower extremities, with the thigh being the most common site.
- • Also occurs in the upper extremities.
- • Most commonly occurs intramuscularly or in other deep tissues/sites.
- • Occasionally occurs in subcutaneous tissue.
- • Can metastasize to lungs, liver, lymph nodes and other bones.
Causes
- • Aside from the uncontrollable growth of abnormal cells to create a fatty mass, there is no known cause.
- • Associated with with post radiation treatment for neurofibromatosis.
Signs and Symptoms
- • Signs and symptoms include swelling and sometimes pain.
- • Most patients present with a large, firm, and rapidly growing mass.
Biological Behavior
- • There is a high risk for metastasis and local recurrence.
- • Risk factors include: older age, large tumor, very deep in the tissue, vascular invasion, truncal local, and incomplete excision of the mass.
Diagnosis
- • The work-up for pleomorphic liposarcoma often consists of a physical examination, X-ray, MRI, CT, and bone scans. Also, a bone scan, CT PET scan, and CT chest/abdomen/pelvis may be ordered to check if the tumor has spread, or metastasized, to the chest/abdomen/ pelvis or other parts of the body. The diagnosis is often confirmed with a biopsy, which samples the tumor for further analysis.
Risk to your limbs
Pleomorphic liposarcoma is a malignant sarcoma that commonly occurs intramuscularly or subcutaneously. Like all soft-tissue sarcomas, these liposarcomas grow in the soft-tissues of the extremities and compromise or destroy the affected soft-tissue and muscles. These tumors can compress or stretch important vessels and nerves, and occasionally wrap around these structures making it difficult to remove the mass without an amputation. They also have the potential to invade adjacent bones. Without treatment, pleomorphic liposarcomas can metastasize or spread throughout the body, with the lungs, liver, and bones being the most common sites. Several risk factors include age, location and depth of the sarcoma, vascular invasion, and incomplete excision of the sarcoma.
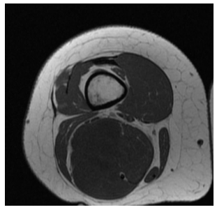
Radiographic imaging is used to help form a diagnosis of pleomorphic liposarcoma. These include X-Ray, MRI, CT and Bone Scans.
An example of an MRI is shown.

Treatment of Pleomorphic Liposarcoma
The treatment of pleomorphic liposarcoma includes surgical excision through wide or radical resections. Limb-sparing surgery is performed whenever possible, however if the tumor compresses, stretches, or is wrapped around vital nerves and vessels then an amputation may be performed. Additionally, radiation and/or chemotherapy may be administered as treatment. Early diagnosis and treatment is beneficial, as there is a poorer prognosis if the cancer has metastasized.
Surgery
Surgical treatment includes wide or radical resections to remove the complete tumor and additional margins. The removal of additional, surrounding margins ensures that the tumor is completely removed and decreases the chances of the tumor coming back.
Chemotherapy
Chemotherapy is a systemic treatment option for some cancers, meaning the chemotherapy drugs travel throughout the body and can kill the cancerous cells that have metastasized, or spread throughout. Chemotherapy is used to treat cancer, control/prevent cancer from spreading, and ease the symptoms related to the cancer. There are various drugs used in chemotherapy, so the combinations of drugs administered and the number of cycles may differ between each person and tumor. Lastly, chemotherapy may be used in conjunction with other treatments, specifically local treatments such as surgery.
Radiation
Radiation is a treatment option for some cancers. Radiation therapy is a localized treatment that utilizes high-energy particles or waves to kill cancerous cells. Because radiation therapy is a localized treatment, it only affects the area in which it is set to target and therefore eliminates the risks of damaging healthy cells throughout the body. Not only is it used to treat cancer, but it can also decrease the chances of the cancer from recurring. Lastly, radiation may be used in conjunction with other treatments, such as surgery or chemotherapy, to treat cancers.
