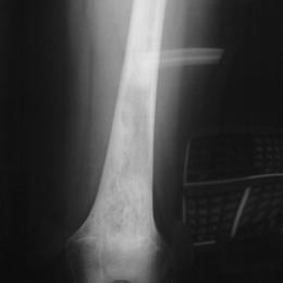
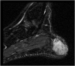
Malignant Peripheral Nerve Sheath Tumor is a malignant (cancerous) tumor that occurs on the outer, protective covering of nerves.
Team OO
by Team OO | Oct 16, 2025 | Conditions
Malignant Peripheral Nerve Sheath Tumor is a malignant (cancerous) tumor that occurs on the outer, protective covering of nerves.
by Team OO | Oct 16, 2025 | Conditions
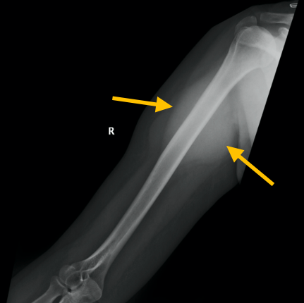
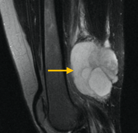
Round Cell Liposarcoma is a malignant, or cancerous, soft-tissue sarcoma that most commonly occurs in the deep tissues of the thigh, or other extremities. It is fairly aggressive and has a greater potential for metastasis.
by Team OO | Oct 16, 2025 | Conditions
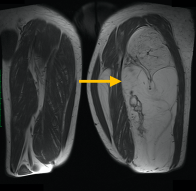
Pleomorphic liposarcoma is a malignant, or cancerous, soft-tissue tumor that most commonly occurs intramuscularly or subcutaneously. It is the least common subtype of liposarcomas, however treated similarly to other liposarcomas, including surgical resection or removal of the tumor.
by Team OO | Oct 16, 2025 | Conditions
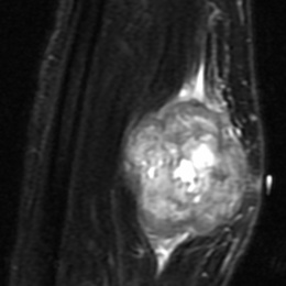
Dedifferentiated Liposarcoma is a malignant (cancerous), soft-tissue sarcoma that most commonly occurs in the retroperitoneum, or the area in the back of the abdomen. It is an atypical liposarcoma that can arise from a low-grade, well-differentiated liposarcoma that can progress overtime into a dedifferentiated liposarcoma. Treatment includes surgical resection or removal of the tumor.
by Team OO | Oct 16, 2025 | Conditions
Liposarcoma is a malignant (cancerous) soft-tissue tumor that most commonly affects the extremities or the abdomen. They are the second most common soft-tissue sarcoma.
by Team OO | Oct 16, 2025 | Conditions
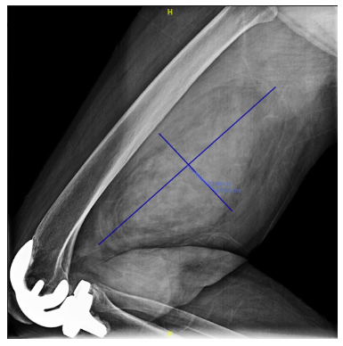
Primary leiomyosarcoma of bone is a rare type of malignant bone tumor. It most commonly occurs in the area behind the tissue that lines the abdomen (the retroperitoneum) and the pelvis. Leiomyosarcoma is also a malignant tumor than can occur in soft-tissue.
by Team OO | Oct 16, 2025 | Conditions
This condition is a rare cancer from cells that make up the blood vessels.
by Team OO | Oct 16, 2025 | Conditions
Rare type of cancerous sarcoma that arises from the dermis of the skin.
by Team OO | Oct 16, 2025 | Conditions
Clear Cell Sarcoma is known as Melanoma of Soft Parts. It is a very rare and aggressive sarcoma.
by Team OO | Oct 16, 2025 | Conditions
Extremely rare cancerous tumor that arises from the endothelial cells of blood vessels and lymph vessels